NOU-DMP
Podología Infantil
Diagnóstico y tratamiento de afecciones en los pies y las uñas, así como la prevención y la cura de la salud podal de los pequeños de casa.
¿Qué es la Podología Infantil?
Es el área de la podología que trata los pies de los más pequeños.
Las preocupaciones más frecuentes de las familias son ver sus hijos andar de puntillas, con los pies hacia adentro o referir caídas frecuentes. Todas estas dudas se pueden resolver pidiendo una cita con el podólogo/a.
En las etapas de crecimiento y desarrollo de los niños es importante poder diagnosticar de forma precoz posibles patologías y diferenciar las que son propias del crecimiento (pie cavo, pie plano, genu valgo, enfermedad de Sever, marcha en adducción, etc.).

Patologías de la podología infantil
Marcha ADD (Marcha Adducción)
Pie plano infantil

MARCHA ADD (MARCHA ADDUCCIÓN)
Se trata de una desviación de la zona anterior del pie hacia dentro. Queda disminuido el Ángulo de Fick.
Puede ser por varias alteraciones biomecánicas como la anteversión femoral, metatarsio adducto o pies equinovaros, o una torsión de la tibia interna entre otras.
Es importante detectarlo y poner tratamiento con el podólogo/a lo antes posible.
Sever
Retropie valgo
RETROPIE VALGO
Es un tipo de deformidad del retropie, el talón se coloca en eversión, alterando la pisada y la musculatura del pie.
Se observa una inclinación hacia dentro de los talones en la primera fase de la marcha que provoca una modificación del alineamiento de los tobillos, rodillas y caderas.
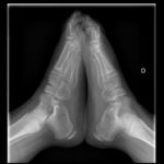
Retropie varo
RETROPIE VARO
Es una deformidad de la zona posterior del pie. Desviación en forma de inversión. Suele ser congénito. Dificulta mucho poder andar con normalidad, por eso hay que tratarlo cuanto antes mejor.
Se requieren ejercicios terapéuticos y de soportes plantares personalizados hechos en la consulta del podólogo/a.

¿Quieres concertar una visita?
Envíanos un correo o llámanos. También puedes enviarnos un mensaje al whatspp.
Gran Via de les Corts Catalanes, 1.151, esc. B, 2on 2a, 08020 Barcelona
Horario:
Lunes a Jueves:
Mañanas de 9:00h a 14:00h.
Tardes de 15:00h a 20:00h.
Viernes:
Mañanas de 9:00h a 14:00h.
Tardes de 15:00h a 19:00h.










